研究テーマの紹介
高木 繁 研究室
研究内容紹介
ポルフィリンの化学
当研究室ではポルフィリンを中心に研究しています。鉄ポルフィリンはヘモグロビンや生体中の様々な酸化酵素の活性中心となっている化合物です。また,クロロフィルはポルフィリンの類似化合物で,光合成の反応中心となる化合物です。研究室のテーマを簡単に言うと,「機能-構造相関」の研究です。その機能は,生体機能の模倣系 "Biomimetics(生体に学び,生体を超える)" により実現しようと考えています。機能の中心は,酸素の活性化と光エネルギーの利用です。今は,ストップしていますが光合成の模倣系による太陽電池の開発も行っていました。(チャンスがあれば再起動するつもりです。)
環境に優しい触媒系としてフルオラス層(フルオロカーボン層・・水とも有機溶媒とも混合しない物質です)を利用した,含フッ素ポルフィリン化合物による高耐久性酸化触媒の開発を行っています。 通常のポルフィリンを酸化触媒とする反応系だと,触媒であるポルフィリン,基質,生成物がすべて有機溶媒層に溶けてしまうため,反応終了後に触媒の分離がどうしても必要になります。工業的には,このステップにすごく費用がかかります。フルオラス層に溶ける触媒を開発すると,この分離操作がかなり単純化されます。まだ,フルオラス層に高い溶解性を示すポルフィリン触媒は開発されていません。僕の研究室では,その触媒開発を目的としています。
ポルフィリンには,その他にも様々な特性がありますが,薬学的な利用については次で触れます。
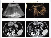
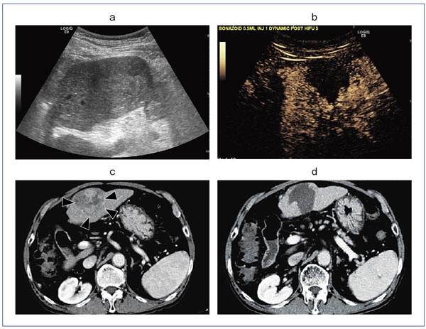
制がん剤の化学
写真のキャプションを入力します。ガンの化学療法は様々ありますが,当研究室ではいわゆるケモセラだけでなく,PDTや放射線療法を利用した「物理療法」のための制がん剤の開発を行っています。ポルフィリンは腫瘍集積性を示す化合物ですが,高い集積性というわけではありません。また,直接抗がん作用を示すわけではありません。PDT(Photo Dymanic Therapy)は,腫瘍に集積したポルフィリンの光触媒作用を利用して一重項酸素を発生させ,周辺の腫瘍細胞を破壊するというものですが,レーザー照射が可能な表面に露出した腫瘍にしか利用できないという欠点があります。当研究室の今の目標は,SDT(Sono Dymanic Therapy)のガンに対する実用化です。SDTとは,レーザーではなく超音波により腫瘍細胞を破壊しようとする治療法です。超音波はエコーなどで知られているとおり,腫瘍の患部を特定することができます。その場合は超音波は散乱するように放射するのですが,その患部に超音波の焦点を当てると腫瘍細胞は破壊可能になります。現在は,HIFUという名称で超音波によるガン治療は行われていますが,破壊作用を増幅する超音波増感剤はまだほとんど知られていません。この開発に成功すれば,ガン治療の大きな一歩になると考えています。
当研究室の目的は,腫瘍集積性を持つPDTまたはSDTの増感剤となる化合物の開発です。増感剤としてはポルフィリンとローズベンガルを用いていますが,最近は腫瘍集積性部位の開発も行っています。SDT増感作用に関しては,まだメカニズムが不明な点が多いのですが,そのメカニズムに関する研究も行っています。
セラミックス光触媒による環境浄化
写真のキャプションを入力します。酸化チタンは紫外光により周囲の酸素分子と水分子を活性化して活性酸素種を生成します。それを利用して,様々な有害物質を分解して環境浄化を行うことができます。しかし,時間あたりの分解速度が遅く,低濃度の有害物質の分解にしか利用できません。また,外壁利用のためにペイントなどに混ぜてしまうと,環境浄化作用は保たれるものの,発生した活性酸素種が有機化合物であるペイントを分解していくため・・長期にわたる利用は難しいという欠点があります。有害物質の吸着性能を上げて,ペイントなどの有機物質との直截な接触を防ぐ方法として,チタニア表面をアパタイト(要するに歯の成分です)被覆する方法があります。活性酸素種は発生点から少ししか移動できないため,アパタイト被覆すると,その外側の有機物(例えばペイント)は破壊しないことになります。アパタイトは,バクテリアや様々な有機化合物を吸着する性質があります。当研究室では,ストロンチウム含有アパタイトの利用により,吸着性能の向上を目指しています。また,最近のLEDの普及に対応するために,紫外光でしか光触媒作用を示さないチタニア意外に,可視光でも光触媒作用を持つ酸化タングステンの利用を検討しています。
Biography
|
昭和49年
|
開成学園高等学校 卒業
|
|---|---|
|
昭和50年
|
東京大学理科一類 入学
|
|
昭和52年
|
東京大学理学部化学科 進学
|
|
昭和54年
|
東京大学理学系研究科化学専攻 進学
|
|
昭和60年
|
東京大学理学博士
|
|
昭和63年
|
名古屋工業大学講師 着任
|
|
平成5年
|
名古屋工業大学助教授
|
|
平成16年
|
名古屋工業大学教授
|
|
平成23年
|
名古屋工業大学学長特別補佐
現在に至る
|



前のページへ